Menu
Nueva Tinción: PAS Schiff
- Novedades
- 2381 vistas
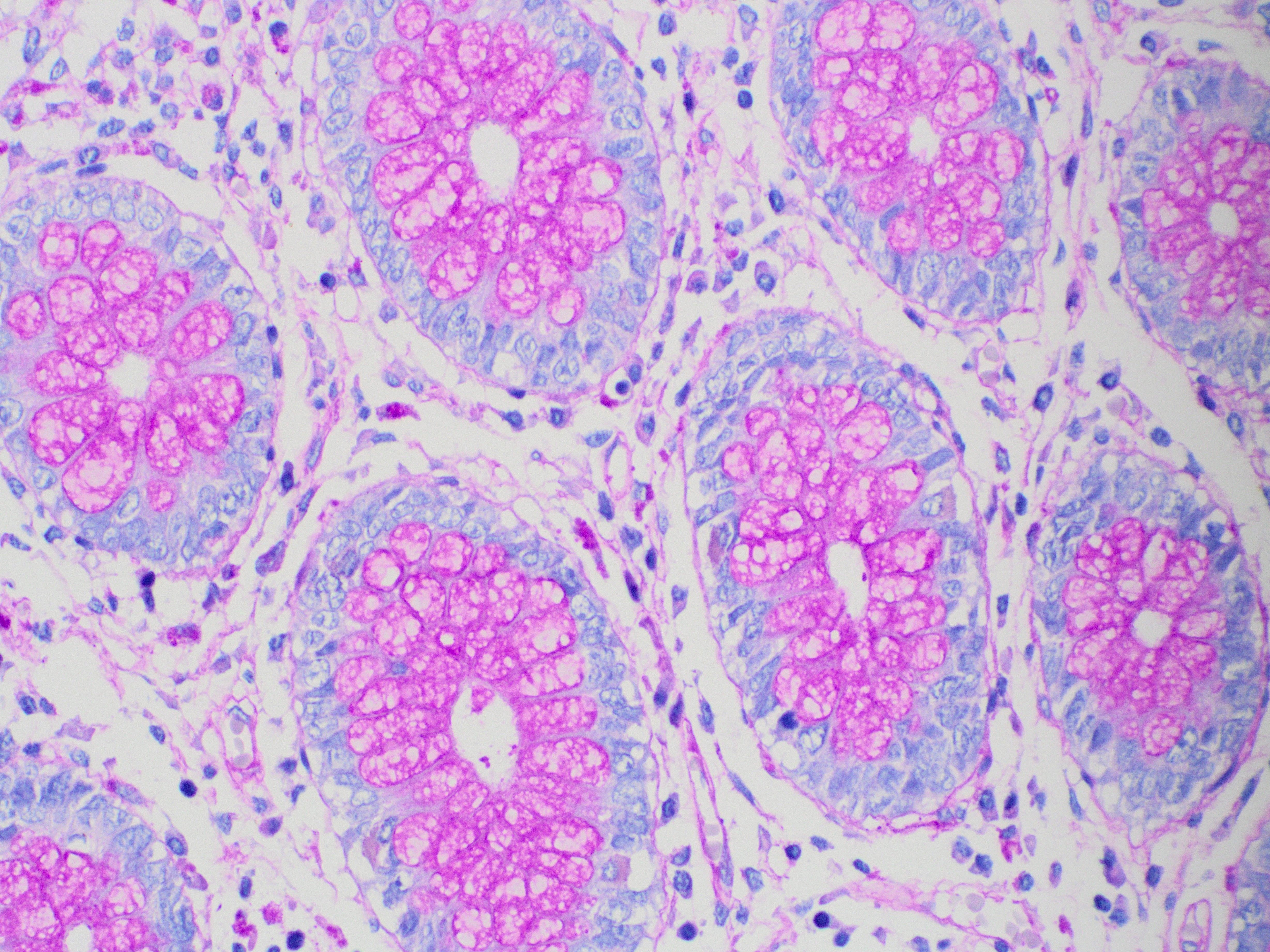
La tinción PAS-Schiff es una tinción ampliamente utilizada en histología o incluso en hematología con frotis de sangre periférica. Esta técnica se usa para identificar polisacáridos, mucopolisacáridos, glucógeno y otras sustancias con grupos glicol en tejidos biológicos y células.
Su mecanismo se basa en la oxidación de los grupos glicol por el ácido periódico, un potente oxidante que los convierte en aldehídos. Éstos reaccionan con el reactivo de Schiff, donde la fucsina que contiene el reactivo se une a los aldehídos, formando un color magenta intenso y revelando la presencia de carbohidratos.