Menu
New PAS-Schiff Staining
- New features
- 2389 views
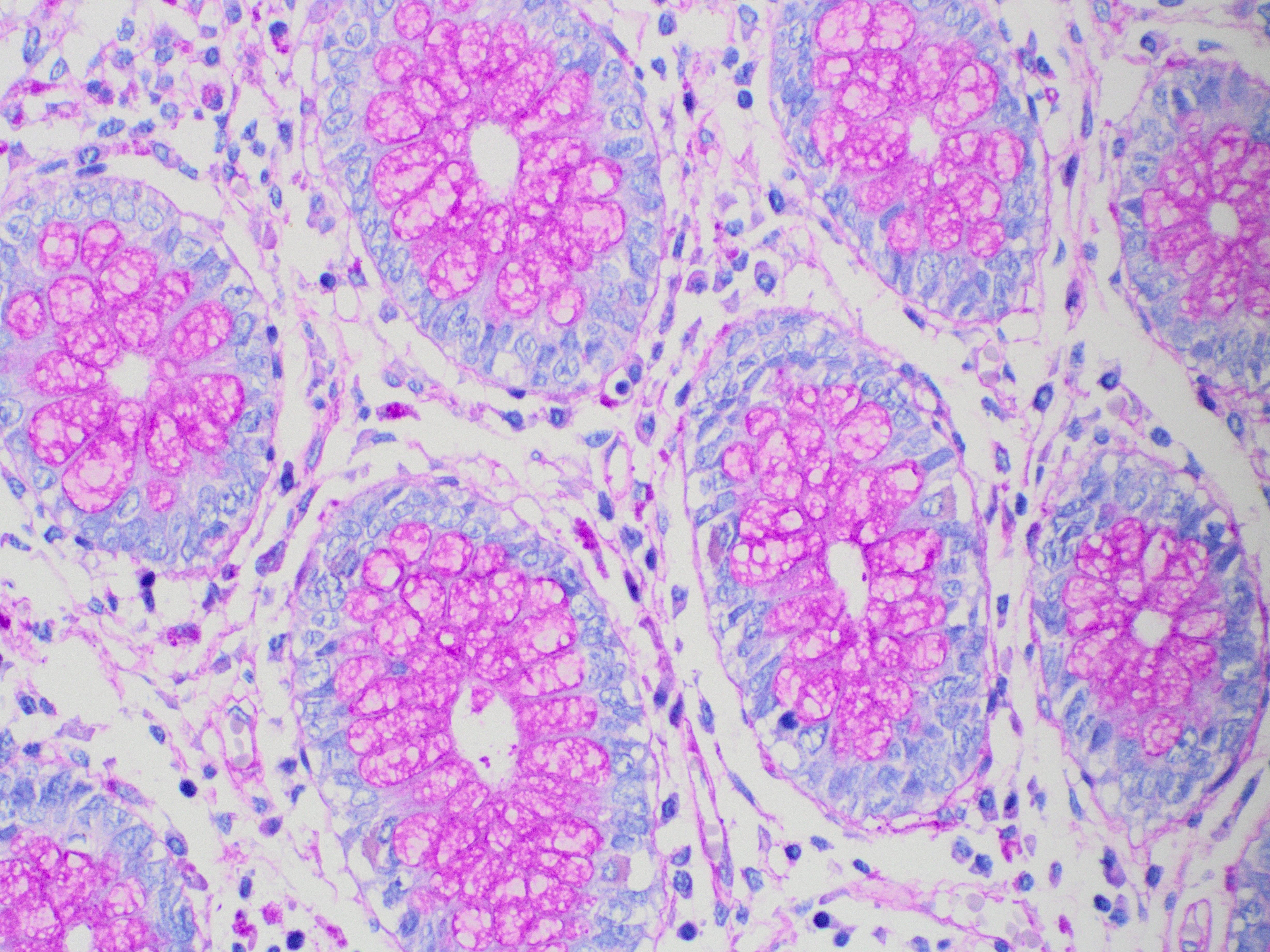
PAS-Schiff staining is widely used in histology and even in hematology with peripheral blood smears. This technique is used to identify polysaccharides, mucopolysaccharides, glycogen, and other substances containing glycol groups in biological tissues and cells.
Its mechanism is based on the glycol groups oxidation by periodic acid, a powerful oxidant that converts them into aldehydes. These react with Schiff’s reagent, where the fuchsin contained in the reagent binds to the aldehydes, forming an intense magenta color and revealing the presence of carbohydrates.